Full Mouth Rehabilitation

Treatment Full Mouth Rehabilitation
full-mouth-rehabilitation

Full Mouth Rehabilitation

A personalised, comprehensive approach to restore oral function, reduce pain, and renew your smile using modern restorative and prosthetic dentistry.

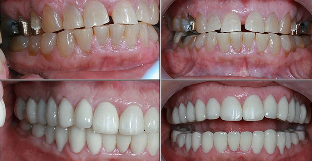
What is Full Mouth Rehabilitation?

Full Mouth Rehabilitation is a customised treatment plan that addresses the health, function, and aesthetics of all teeth in both jaws. It focuses on rebuilding a stable bite, improving chewing efficiency, resolving jaw pain, and restoring a natural-looking smile.

Who is a Candidate?

Patients with multiple missing or severely worn teeth
Individuals experiencing chronic jaw pain or bite imbalance
Those with long-standing dental problems or failed restorations
People seeking a comprehensive smile and function makeover

Benefits

Improved chewing and speech
Relief from jaw pain and bite-related discomfort
Enhanced smile aesthetics and facial support
Long-term, predictable oral health outcomes